




Traumatología & Ortopedia Infantil
Desde nuestra consulta podemos diagnosticar, orientar y tratar con un especial cariño las enfermedades y lesiones traumaticas que afectan a los más pequeños. Por fortuna, en la mayoría de las ocasiones es suficiente con pautar tratamientos conservadores (rutinas de ejercicios, seguimiento de anomalias menores, ortesis y yesos...); sin embargo, cuando es conveniente y necesario, llevamos a cabo tratamientos invasivos y quirúrgicos.


A qué damos respuesta
1. Patologías traumáticas
- Esguinces y contusiones
- "Fisuras", Fracturas (en rodete, tallo verde, con desplazamiento, ... incluido tratamiento conservador y quirúrgico) y Epifisiolisis (lesiones de las placas de crecimiento de leves a severas)
- Luxaciones o inestabilidades adquiridas (lesiones de ligamentos de codo o rodilla, luxaciones de clavícula o de hombro, ...)
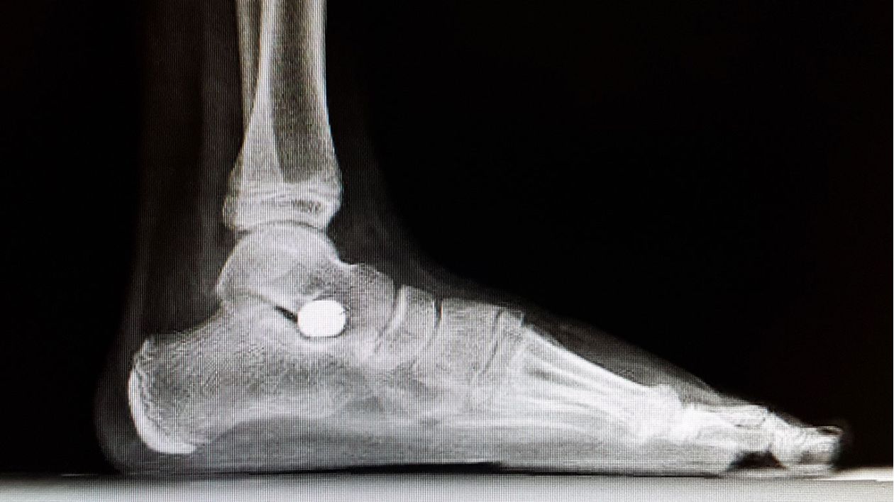
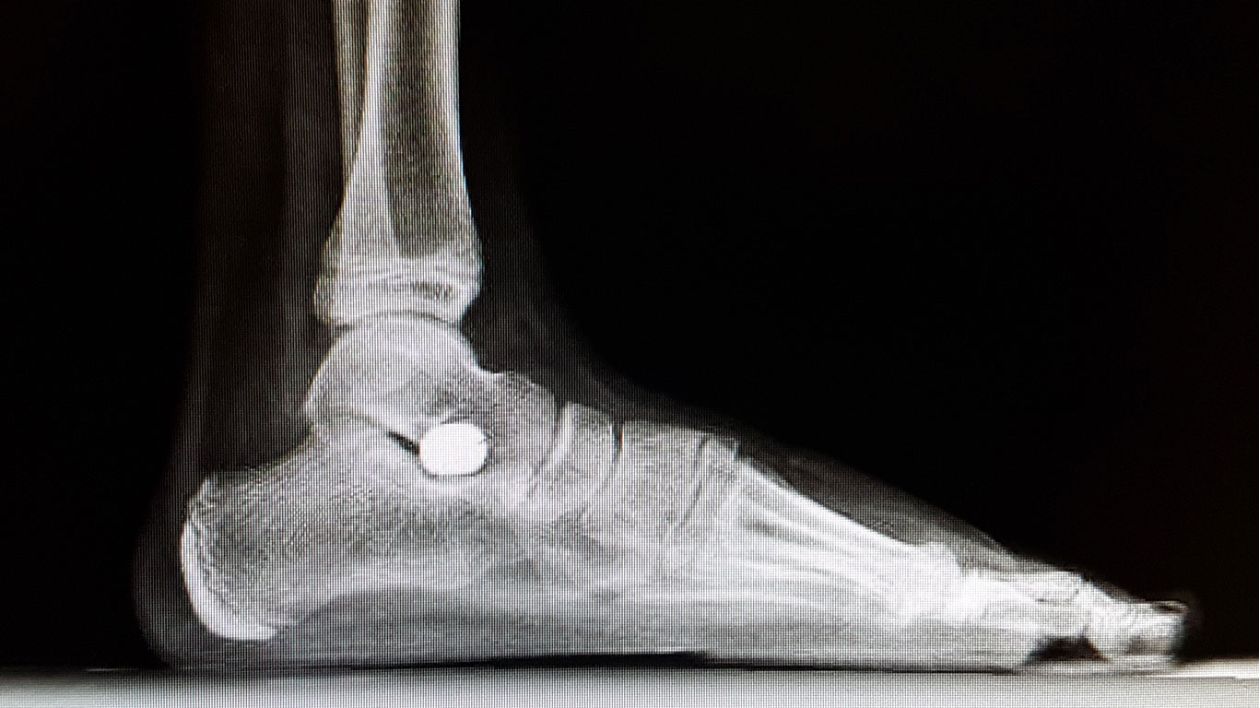
Epifisiolisis
La epifisiolisis es un término médico que se refiere a una fractura del cartílago de crecimiento o fisis de un hueso largo. El cartílago de crecimiento, ubicado entre la epífisis y la metáfisis del hueso y constituido por células cartilaginosas que están estratificadas de manera muy precisa, responsables del crecimiento en longitud del hueso. Una vez finalizado el crecimiento, la zona se osifica desapareciendo el cartílago. Entre un 15% al 25% de las fracturas de la infancia afectan al cartílago fisario de crecimiento. La fractura puede ir recorriendo o cruzar dicha estructura, provocando como resultado la separación de una parte o la totalidad de la epífisis de la metáfisis.
2. Patologías Ortopédicas
- Enfermedades y anomalias de los recién nacidos e infantes (diferencia de pliegues y displasia de cadera; pies zambos, talos u otras anomalias de los deditos de los pies; dedos en resorte y rigideces de los dedos de las manos; tortícolis congénita, ...)
- Enfermedades y anomalías de los niños y adolescentes (pies planos valgos, rígidos, cavos; afecciones de la cadera y otras alteraciones de la marcha; escoliosis y otras desviaciones de columna; anomalías del eje/ángulo y malrotaciones de los miembros; dismetrias y asimetrias de las extremidades; luxaciones de rótula; dolores clasificados como de "crecimiento" o relacionados con la actividad deportiva, ...)
- Artropatias inflamatorias e infecciosas

